IMPLANTATE VON DR. JARMIL MAREK IN WEITERSFELDEN
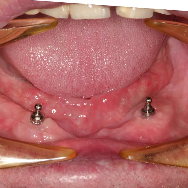
Wir bieten Versorgung für zahnlose Kiefer mit Implantaten als Haltverbesserung oder als Unterstützung der Stabilität bei Teilprothesen an.
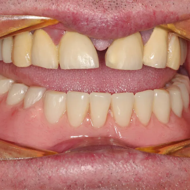
Einzelzahnverlust wird je nach Knochenbestand mit Implantaten korrigiert. Optional bieten wir auch Implantate aus Keramik an, was Allergien und Unverträglichkeiten entgegenwirken sollte. Keramikimplantate bieten eine hohe Verträglichkeit gegenüber dem Zahnfleisch und ähneln der Farbe der Zähne, was sich auf die Ästhetik vorteilhaft auswirkt.
